ホワイトニング

ホワイトニング

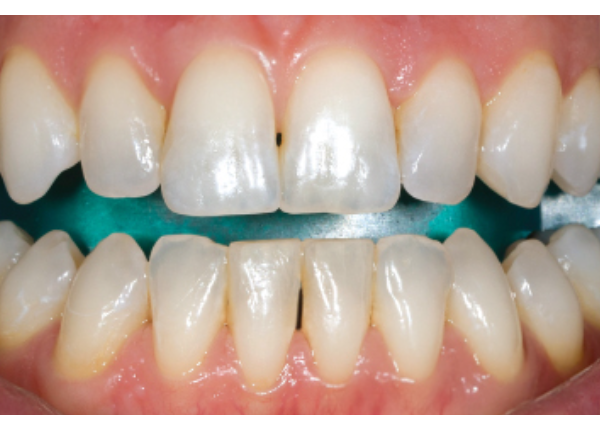
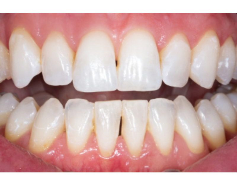
歯磨きや歯のクリーニングでは落ちない、加齢や飲食物による着色を歯を削ることなく白くする方法です。
歯の黄ばみや黒ずみ色素を分解して歯を白くしていきます。
天然の歯は白くなりますが、つめものや、かぶせものが入っているところは白くなりません。
ホワイトニングにはさまざまな方法があります。
歯科医院で行うオフィスホワイトニングは専門の器具と薬剤を使い、短時間で効果を得られるのが特徴です。
一方自宅で行うホームホワイトニングは、自分のペースで進められるため、忙しい方にはオススメです。
両者を組み合わせたデュアルホワイトニングもあります。
これはオフィスホワイトニングでの施術後、自宅でのケアを続けることで、より持続的な白さを実現します。
気になる方はお気軽にご相談下さい。

 
オフィスホワイトニングは、歯科医院で高濃度の薬剤を使って行う施術で、短時間で効果を実感できるため、早く白くしたい方におすすめです。

ホームホワイトニングは、歯科医師の診断後に既成トレイを使って自宅や外出先で手軽に始められる、好きな時間にできる方法です。

オフィスホワイトニング施術方法

STEP1

お口の状態と、歯の色調を確認
 

STEP2

ホワイトニング材を塗布する準備をします。歯肉保護などを行います。
 

STEP3

ホワイトニングジェルの塗布を行います。
 

STEP4

歯の色調の変化を歯科医師と確認します。
 

オパールエッセンスGo(使い切りタイプ)

 

お手軽ホームホワイトニング使用方法

オフィスホワイトニング施術後にオパールエッセンスGoを使用する場合は、24~48時間後を開始時期の目安としてください。

STEP1

パッケージから製品を取り出します。
「U」…上顎用ホワイトニングトレイ
「L 」…下顎用ホワイトニングトレイ
 

STEP2

上顎用トレイを歯面に装着します。
 

STEP3

軽く吸い込むようにして、トレイを歯面に密着させます。その際、ジェルが歯肉に付着し痛みの原因となることを防ぐため、トレイを指で強く押さないようにしてください。
 

STEP4

内側の白いトレイを歯に残したまま、外側の色付きトレイ(緑)を取り外します。下顎用トレイも同様に装着します。装着時間は歯科医師の指導に従ってください。
 

STEP5

ホワイトニング終了後、トレイを取り外して破棄します。歯を磨き完全にジェルを除去します。
 

angelus(トレー流し込みタイプ)

 

 
 
ホームホワイトニングは2種類の方法を使用しております。
患者様のライフスタイルに合わせてお選び頂いてます。
Scroll